·腰背疼痛、晨起有僵硬感是强直性脊柱炎吗? · 青重症强直性脊柱炎将面临瘫痪危险 · 强直性脊柱炎为什么重男轻女? ·在日常生活中,如何正确预防强直性脊柱炎?

在线阅片 ·治疗强直性脊柱炎需要遵循哪些原则? 导诊服务

预约挂号

免费电话

来院须知

病因 | 症状 | 危害 | 治疗
检查 | 预防 | 医生

成都风湿医院作为风湿病专业研究与临床
诊疗医院,同时也是集治疗、预防、保健、
教学、公益慈善为一体的风湿病医院。
主要治疗类风湿性关节炎、风湿性关节炎、
痛风、强直性脊柱炎等……【详细】

    膝关节

    例子
    病症描述:AS在18岁前发病常导致四肢关节——尤其是膝关节——肿大疼痛。
    在线客服医院电话
    (注:如出现以上症状请及时在线导诊或者到院就医。)

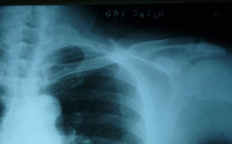
    肩关节

    例子
    病症描述:强直性脊柱炎也会致使肩关节强直。不及时医治就会促进肩关节活动受限,它会影响患者梳头、抬手,大幅度动作不能动而影响平常活动等。肩关节强直主要是来源于肿胀,才会致使肩关节受限。
    在线客服医院电话
    (注:如出现以上症状请及时在线导诊或者到院就医。)

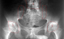
    髋关节

    例子
    病症描述:(图1)腰椎1-5呈竹节样表现,(图2)髋关节钙化.脊柱弯曲困难间隙变小.(图3)髋关节间隙变小钙化。
    在线客服医院电话
    (注:如出现以上症状请及时在线导诊或者到院就医。)

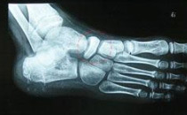
    跟骨

    例子
    病症描述:AS在青春期前发病可能会踝关节和脚部关节肿痛,出现跟骨骨刺。
    在线客服医院电话
    (注:如出现以上症状请及时在线导诊或者到院就医。)

    颈椎

    例子
    病症描述:病变发展至胸椎和颈椎椎间小关节,间盘间隙发生钙化,纤维环和前纵韧带钙化、骨化、韧带骨赘形成,使相邻椎体连合,形成椎体间骨桥,呈较有特征的"竹节样脊柱"。
    在线客服医院电话
    (注:如出现以上症状请及时在线导诊或者到院就医。)

    胸椎

    例子
    病症描述:AS中期症状显著症状之一下背部或腰骶部疼痛;腰脊晨起僵硬;自腰骶部上升性向上,蔓延性疼痛加剧,累及胸椎。
    在线客服医院电话
    (注:如出现以上症状请及时在线导诊或者到院就医。)

    腰椎

    例子
    病症描述:X线腰椎正位(A)、侧位(B)显示前纵韧带、黄韧带、棘间韧带及棘上韧带广泛骨化,形成垂直骨桥,呈典型"竹节样"改变,椎小关节模糊不清。
    在线客服医院电话
    (注:如出现以上症状请及时在线导诊或者到院就医。)

    骶髂关节

    例子
    病症描述:AS较早的变化发生在骶髂关节。该处的X线片显示软骨下骨缘模糊,骨质糜烂,关节间隙模糊,骨密度增高及关节融合。
    在线客服医院电话
    (注:如出现以上症状请及时在线导诊或者到院就医。)
  • 正面观
  • 背面观